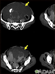
Ascites with ovarian cancer, CT scan
   
Ascites with ovarian cancer, CT scan

This CT scan of the lower abdomen shows a massive amount of free abdominal fluid (ascites) in a patient with ovarian cancer.


Review Date: 10/16/2011
Reviewed By: David Zieve, MD, MHA, Medical Director, A.D.A.M., Inc. and George F. Longstreth, MD, Department of Gastroenterology, Kaiser Permanente Medical Care Program, San Diego, California.
The information provided herein should not be used during any medical emergency or for the diagnosis or treatment of any medical condition. A licensed medical professional should be consulted for diagnosis and treatment of any and all medical conditions. Call 911 for all medical emergencies. Links to other sites are provided for information only -- they do not constitute endorsements of those other sites. © 1997- A.D.A.M., Inc. Any duplication or distribution of the information contained herein is strictly prohibited.
adam.com
© 1997- adam.com All rights reserved.